Ir al contenido principal
Ir al menú de navegación principal
Ir al pie de página del sitio
Open Menu
Actual
Archivos
Equipo editorial
Buscar
Información
Avisos
Contacto
Declaración de privacidad
Envíos
Instrucciones para autores de Ciencias Biológicas y de la Salud
Instrucciones para autores de Ciencias Sociales, Naturales y Formales
Cartas al Editor
Acerca de
Sobre la revista
Para autores
Para Revisores
ECV
Registrarse
Iniciar sesión
Buscar
Buscar
Registrarse
Iniciar sesión
Buscar
Buscar
Inicio
/
Archivos
/
Vol. 4 Núm. 2 (2022): COVID-19
Vol. 4 Núm. 2 (2022): COVID-19
En el presente número presentamos casos de COVID-19.
Publicado:
2022-04-05
Ciencias de la Salud Humana
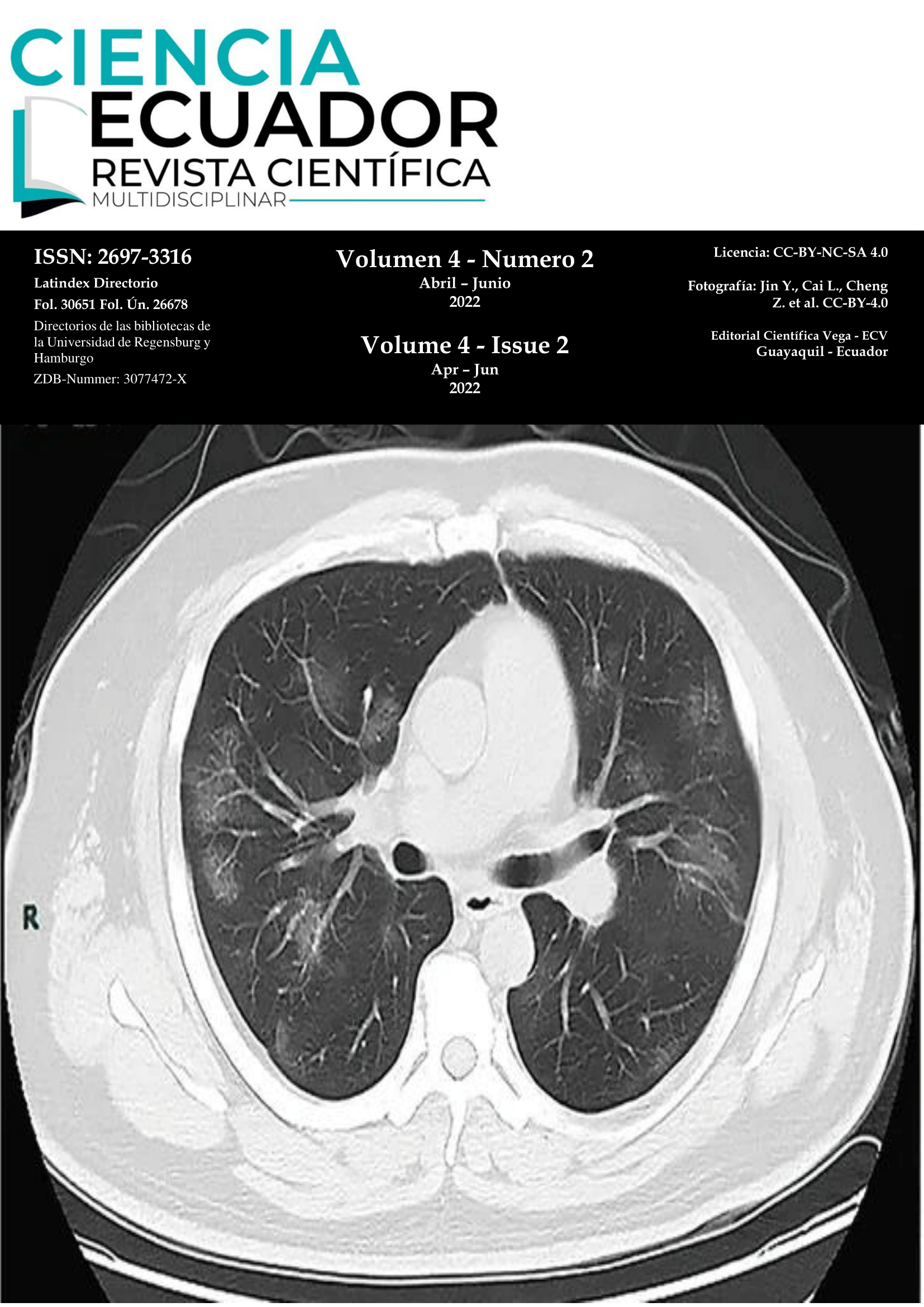
Evolución tomográfica de paciente con COVID-19
Imagen Médica
Harold Reynaldo Farfán Cano, Stanley Farfán Cano, MD. Mprof., Dr. Richard Bonilla Crespín
1-2
PDF
Isquemia distal en un paciente crítico con COVID-19
Informe de caso
Gilda Romero Ulloa, MD, Henry Nuñez Manjarres, MD, Mauricio Chávez, MD., Ximena Villacrés Segovia, MD., Vélez-Altamirano Jasmín, MD., Ana Zambrano Mendoza, MD.
3-7
PDF
Idioma
English
Español (España)
Enviar un artículo
Enviar un artículo